Comprehensive Cosmetic Dentistry in Purcellville, Virginia
Dr. Nadia Armentrout
and Dr. Christopher Salas
are trained and equipped to provide a wide range of cosmetic dentistry in Purcellville, Virginia. From implants, to veneers, dental crowns, and composite tooth-colored fillings, Dental Smiles at Purcellville Gateway can provide you the smile you've always wanted. Contact our office
today to learn more and schedule your comfortable and convenient dental appointment in Purcellville, Virginia.
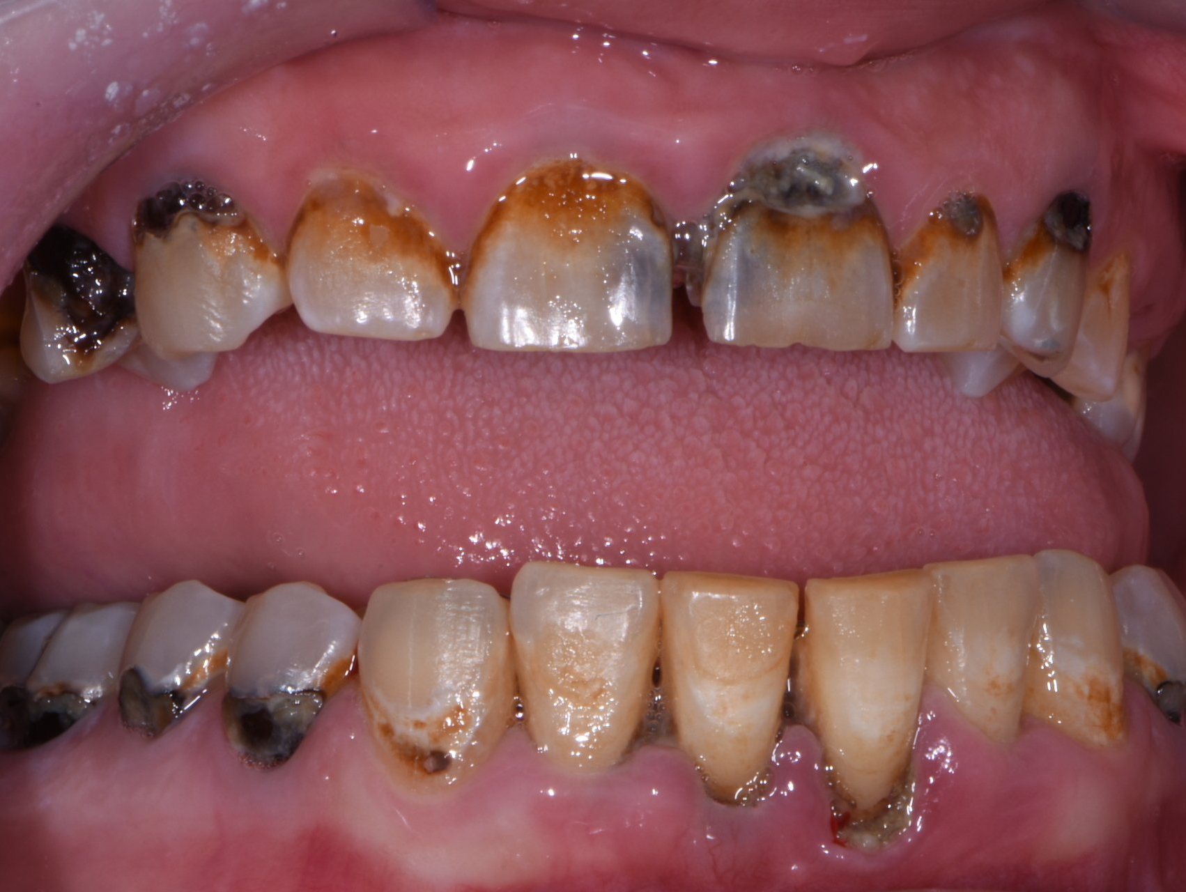
Before Full Mouth Rehab
Write a short description.
After Full Mouth Rehab
Write a short description.
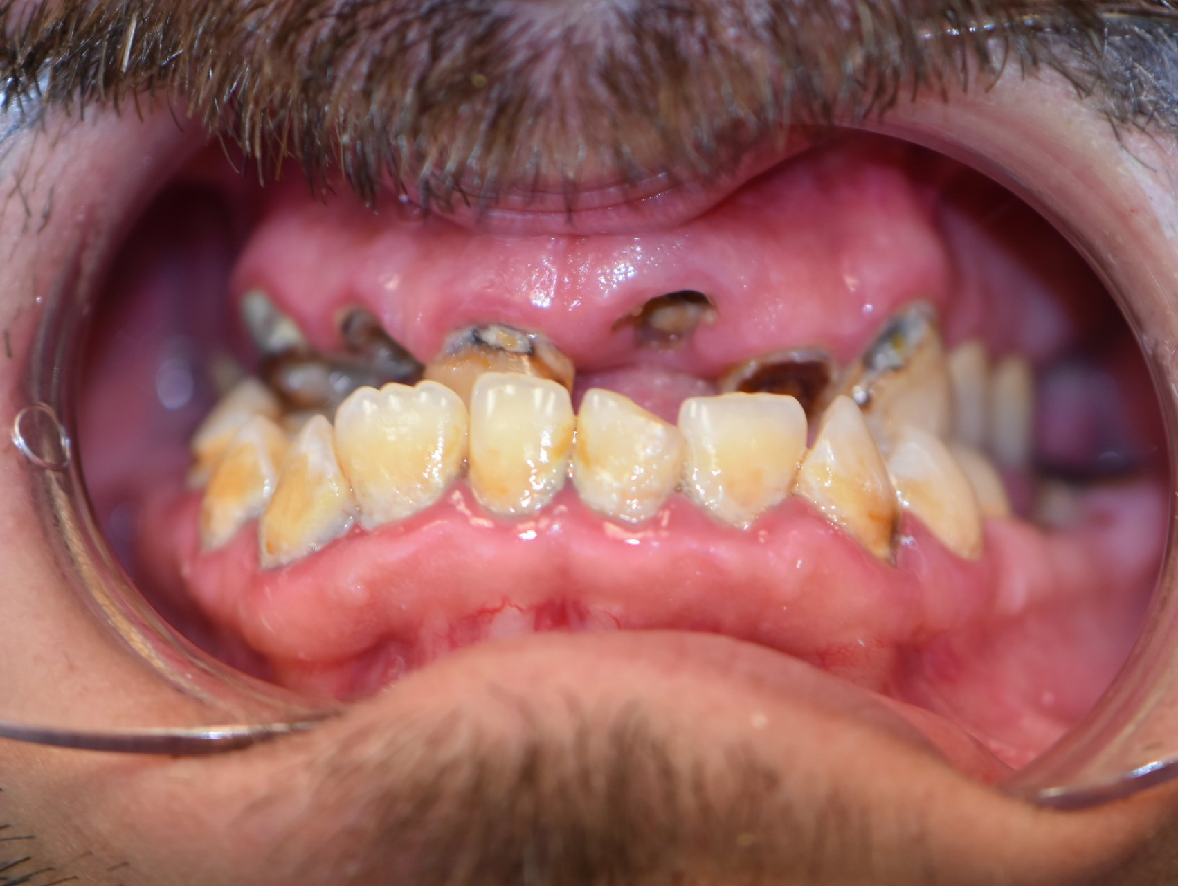
Before Veneers
Write a short description.
After Veneers
Write a short description.
View more
Award Winning
Our doctors have been awarded with numerous certifications and continuing education credits. Let us treat you to excellence in dentistry!
Expert Team
Your oral health will be handled by experts in dentistry every time. We make sure you have the most experienced professionals working for you.
Quality Guaranteed
You’ll find the support you need to ensure that your oral and total body health are at their peak. Our staff is dedicated to being available when you need them.
“They were recommended to us by our awesome orthodontist and we couldn't be happier. Great atmosphere, great people, very clean and comfortable. They submit all insurance and make it an easy and enjoyable experience. My daughter even had 6 extractions and they were sweet and gentle and she didn't shed 1 tear! Thanks Guys!”
Michelle B.
“Love Dental Smiles and have been a patient for almost 3 years. The atmosphere is very pleasant and comfortable. The staff is very nice and professional. I always feel very comfortable there and highly recommend the office especially to those that may have a fear of the dental office like I once had until coming here.”
Linda M.








